


从事IT行业的张先生(化名)虽然平时工作非常忙碌,但他也很注重身体健康,热爱运动,最近天气炎热,更是游泳馆里的常客,解暑健身两不误。
近日,张先生像平常一样游了四圈,上岸休息时,就感觉不太对劲儿,肚子有点“胀咕咕”的,还有些胸闷。“难道刚才游泳冲刺,速度太快了?”张先生回到公司后,觉得胸背部和腹部疼痛感越来越明显,同事见状,果断的拨通了120急救电话。
接诊的浙江省中西医结合医院(杭州市红十字会医院)急诊外科的王伟医生,经过仔细问诊和查体后,认为张先生胸闷,腹部疼痛的情况需要腹部超声进一步检查来明确诊断。

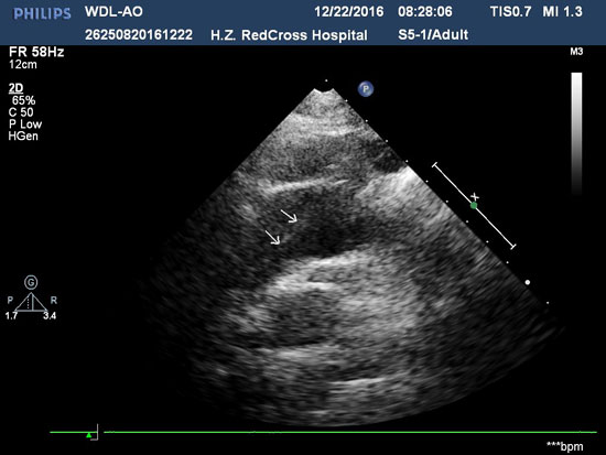
随后,超声医学科王大力副主任医师检查到病人的腹部大动脉位置上时,凭借多年的临床经验,立马发现了张先生的病情“不一般”!超声波显示,腹主动脉内一根条带在来回飘动,他的腹主动脉“分层了”!危险!王大力医生立马对张先生的心脏进行了检查,发现主动脉弓内也存在这样的条带,这是人体内最危险的疾病之一“主动脉夹层”!
王医生马上安抚张先生的情绪,叮嘱他躺在床上休息,等待平车转运,减少因活动而出现意外,并迅速联系血管外科、放射科,启动绿色抢救通道,多学科联合争分夺秒以最快速度保障患者的生命安全。

患者心脏主动脉弓内的血管夹层
经放射科CTA检查,确诊为主动脉夹层DeBakey I型,血管外科金弢主任医师为张先生迅速制定手术方案,凭借娴熟的技术和丰富的经验,顺利完成手术。“多亏你们及时的发现,才让我有惊无险!”张先生术后恢复良好,没多久就出院回家静养了。
被称为“人体炸弹”的主动脉夹层
到底是个什么毛病?
如果把人体内的血管,比做树,那么,主动脉就是树干,负责把心脏内的血液输送给全身各个器官使用,粗大的“树干”(血管)也并不是单一结构,像树皮一样,有很多层:内膜、中膜、外膜。血管在这三层的协同作用下,才能行使正常的功能:运输血液。但如果在某些特殊情况下,这三层的紧密结构被破坏了,形成“主动脉夹层”,那就会导致非常危险的情况,血管壁有可能会“爆掉”。
主动脉夹层(Aortic Dissection,AD)又称主动脉夹层动脉瘤,是一种非常严重的心血管危重症,是由各种原因导致的主动脉管壁内膜的某个部位出现破口,高压血流经过破口冲入动脉壁中层内形成血肿,并逐渐延伸扩展不断累及各个分支血管,引起相应并发症,最终有可能会导致血管破裂,大出血,情况危急。
什么样的人更易得病?
出现哪些症状要格外警惕?
危险因素主要包括高血压,动脉粥样硬化等,部分患者是因感染、运动、外伤以及医源性损伤等等多种因素。
主动脉夹层以疼痛为首要表现,大多数为胸背部以及腹部疼痛。其次表现为血压异常,心律失常,还有脏器和肢体的缺血性表现。
张先生年纪较轻,临床表现并不典型,仅表现为胸闷腹胀腹痛,但由于夹层撕裂范围较广,随时存在生命危险。好在超声检查时便发现腹主动脉及主动脉弓异常,为临床进一步诊治争取了更多时间,及时进行手术挽救了生命。
