


电瓶车因其便捷性,往往成为家长接送孩子的优选。不过,近期杭州市儿童医院接诊的外伤病例,再次给家长们敲响安全的警钟。
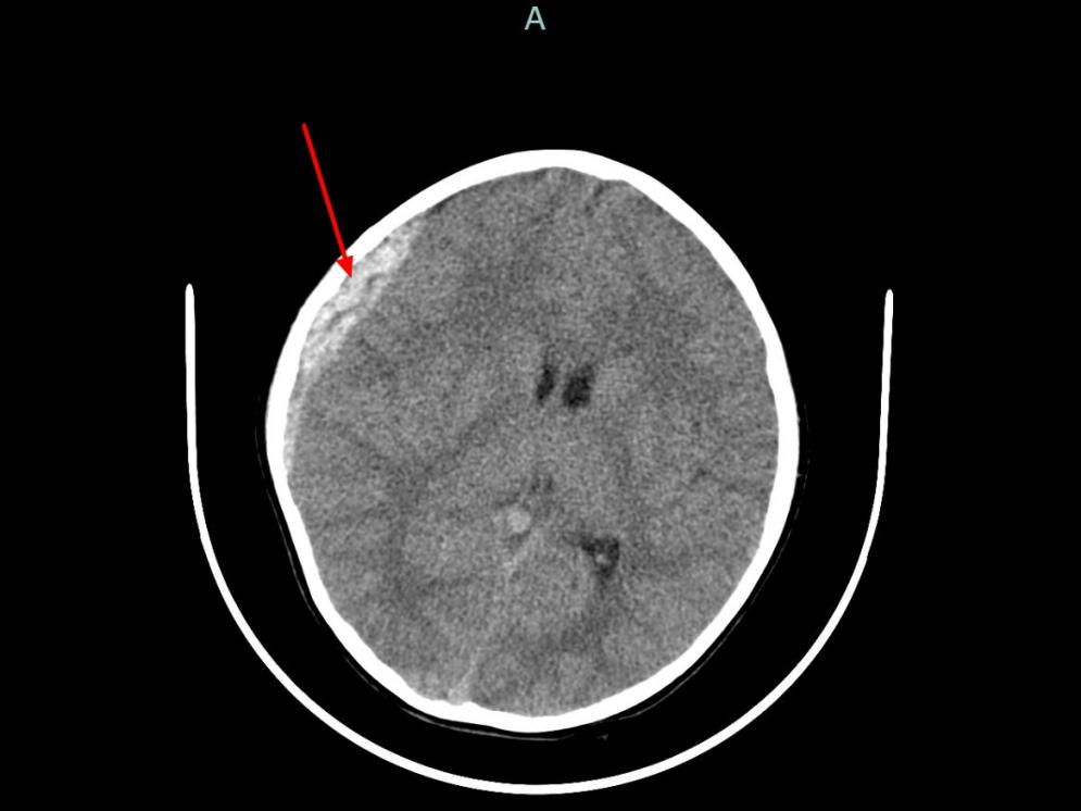
日前,6岁的童童(化名)被推进了杭州市儿童医院急诊抢救大厅,右侧头皮血肿,恶心、呕吐,嘴里喊着“头痛”……原来,半小时前他坐的电瓶车被小汽车撞倒,头部磕到地面,糟糕的是,当时孩子没有戴头盔!经验丰富的急诊团队心中警铃大作,迅速完成一系列操作。10分钟完成头颅CT检查,影像清晰显示右额顶骨骨折,右侧颞顶部硬膜外血肿,中线结构明显偏移,随时可能发生脑疝!

时间就是生命,此时童童喷射性呕吐加剧,意识也逐渐模糊。杭州市儿童医院神经外科李奇峰副主任医师紧急赶到,孩子被推进了手术室……好在抢救及时,术后CT复查显示颅内压显著降低,脑组织复位良好。PICU、神经外科、麻醉科、手术室多科协作,童童顺利化险为夷。
“很多家长觉得车速慢、路程短就心存侥幸。”杭州市儿童医院急诊科张彩云主任医师表示,儿童头重脚轻的特殊生理结构,使得跌落时头部更容易承受冲击。当事故发生时,头盔可吸收大部分撞击力,起到缓冲、减震的保护作用。“也不建议孩子戴成人头盔,儿童头围小,成人头盔无法紧密贴合,碰撞时易脱落或旋转造成二次伤害。”
无独有偶,不久前,12岁的新新(化名)上学路上坐的电瓶车撞到路边护栏,一瞬间,小腿皮肤就像手套一样剥落下来。骨科医生为他进行了皮肤脱套伤清创探查+皮瓣回植术+VSD 负压吸引术,之后经过医护团队的精心护理,伤口逐渐恢复。“但是由于受伤面积大,完全恢复还是需要一段时间。”


皮肤脱套伤是指大块皮肤及其下方的软组织层部分或完全从肌肉和连接的组织上剥脱下来的情况。脱套伤是骨科最严重的外伤之一,早处理是关键。如果长时间得不到及时有效救治,容易出现皮肤坏死、失血过多甚至休克的情况。杭州市儿童医院骨科副主任王浩然副主任医师提醒,一旦在生活中发生脱套伤,切勿强行拉回皮肤,要谨记应急处理四字诀:停、盖、压、送。
停:立即停止活动,避免二次伤害。
盖:用清洁纱布或毛巾覆盖伤口。
压:手指按压伤口边缘止血(禁止直接按压撕脱组织)。
送:将撕脱皮肤用湿润纱布包裹后随伤员送医。