


“医生快救救我!我是不是瞎了!”近日,29岁的小王(化名)捂着左眼,在工友的陪同下冲进杭州市红十字会医院钱塘院区眼科急诊。
原来,小王是一个独自在城市打拼的95后,前几天,他结束了在工地忙碌的工作,在回家路上,旁边一辆工程车路过,“咻”的一声,不知道什么东西像子弹一样射向小王,直击左眼,瞬间的剧痛让他几乎失去意识。
当时一个工友听到小王的惨叫,急忙上前查看,只见小王的左眼汩汩往外冒血,立即将他送至医院。
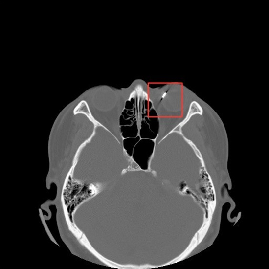
接诊的傅燕芳医生迅速为小王进行了初步检查,立刻意识到情况严重。通过精密设备和急诊CT检查,傅医生发现小王的左眼角膜上不仅有一道长约8mm的裂口,更糟糕的是,眼内的“高密度”异物已经贯穿了眼球前部,镶嵌在眼球后壁。

CT检查结果
时间就是光明的希望,速度就是小王的未来,高难度的手术迫在眉睫!傅医生立即启动杭州市红十字会医院“一院两区”严重眼外伤应急预案,联系仁爱院区紧急安排小王住院治疗。与此同时,两院区眼科专家团队立马进行线上紧急会诊,并研讨制定手术计划。
到达仁爱院区后,杭州市红十字会医院眼科主任诸力伟主任医师再次详细评估及完善相关检查,经过耐心沟通和暖心安抚,即刻为小王安排了手术。
术中诸主任缝合了破损的角膜,吸除了因损伤导致混浊的晶状体,并从眼内取出了一枚0.5×0.3×0.2cm的肾形铁片,比常人的瞳孔还要大!

铁片不仅击穿了小王的角膜和晶状体,还造成了视网膜破裂和局部视网膜脱离。对此诸主任采取了玻璃体切除+视网膜光凝+玻璃体腔硅油填充术治疗。
手术过程非常顺利,眼球保住了,目前恢复良好,后续等待二次手术植入人工晶体或许可以保存一部分视力。
眼球破裂伤是眼科病情较为复杂的一类疾病,眼球遭到打击后,眼球的各个组织层次,从眼球前段的角膜、虹膜、晶状体,直到眼球的后部结构(如玻璃体、脉络膜和视网膜)都有可能受损,可导致永久性视力丧失甚至需要摘除眼球。
诸力伟主任医师提醒:一旦发生眼球破裂伤,患者及陪同者需要沉着冷静,立即抬送医院抢救。如有尖锐物扎入眼球,千万不可强行拔出,以免造成二次创伤。
现在正值“金三银四”复工旺季,我们一定要牢记施工安全护眼小贴士:
1. 佩戴适当的个人防护装备:必须佩戴合适的护目镜或安全眼镜,以防止异物、碎片或化学物质进入眼睛。
2. 选择适当的护目镜:根据工作环境选择合适的护目镜,如防飞溅、防化学品、防尘埃等,确保护目镜具有适当的防护级别。
3. 定期检查护目镜的状态:确保护目镜没有磨损、划痕或损坏。损坏的护目镜可能无法提供足够的保护。
4. 防护面罩:对于某些高风险的施工任务,可能需要佩戴防护面罩,以提供更大范围的保护。
5. 远离危险区域:尽量避免进入飞溅、喷射或颗粒物飘散的区域,减少受伤的风险。
6. 紧急情况下的应对:如果发生眼部伤害,立即寻求医疗帮助。在等待医疗援助时,避免揉搓眼睛,以免加重伤害。
7. 培训与意识提高:参加相关的安全培训,了解眼部伤害的风险以及如何正确使用个人防护装备。