


“好着呢!能吃能喝能睡!”在杭州市第一人民医院吴山院区(杭州市肿瘤医院)综合病区,96岁的李奶奶(化名)精神矍铄地笑着回答医生的询问。
谁也想不到,两年前她还因肿瘤导致呼吸困难多次急诊入院。如今,在个性化治疗和乐观心态的支撑下,这位1928年8月12日出生的老人即将在病房迎来97岁生日。
2023年9月,李奶奶突发胸闷气急,检查发现右肺占位伴大量胸腔积液。考虑到高龄,家人仅选择了保守的胸腔引流治疗。一个月后,当李奶奶再次因呼吸困难送医时,家人决定寻求更多治疗可能。多方咨询后,一家人找到了市一医院吴山院区(市肿瘤医院)综合病区周建美副主任医师。
“医生,我母亲年纪这么大了,还有治疗机会吗?”李奶奶的女儿张阿姨(化名)忧心忡忡。
“结合之前的影像资料,”周主任解释道,“老人家反复出现的胸闷气急和大量胸腔积液,高度提示右肺的占位性病变(肿瘤)可能是罪魁祸首,这是肺癌常见的并发症之一。确实需要积极干预,但还远没到需要放弃一切治疗的时候。”
考虑到李奶奶年近百岁和家属对创伤性检查的顾虑,周建美建议用引流的胸水做细胞学检查,既安全又能判断病因,比有创检查更适合老人家。两天后,结果带来了明确但沉重的信息:胸腔积液中找到了癌细胞。
面对这一结果,家属陷入两难:是让老人接受抗癌治疗,还是保守治疗?
“很多家属认为高龄老人经不起抗癌治疗,其实这是个误区。”周建美解释道,“现在肺癌治疗已经进入精准时代,如果基因检测显示存在EGFR突变,意味着可以服用针对性药物。这类药物就像‘精准导弹’,主要打击癌细胞,副作用比化疗小得多,对高龄患者比较适合。像李奶奶这样不吸烟的女性,存在可靶向治疗的驱动基因突变的概率,高达70%。”经过与家属充分沟通,周建美将李奶奶的胸水样本送检基因检测。一周后,结果带来惊喜:EGFR 21号外显子L858R突变!这个发现为李奶奶打开了一扇希望之门。

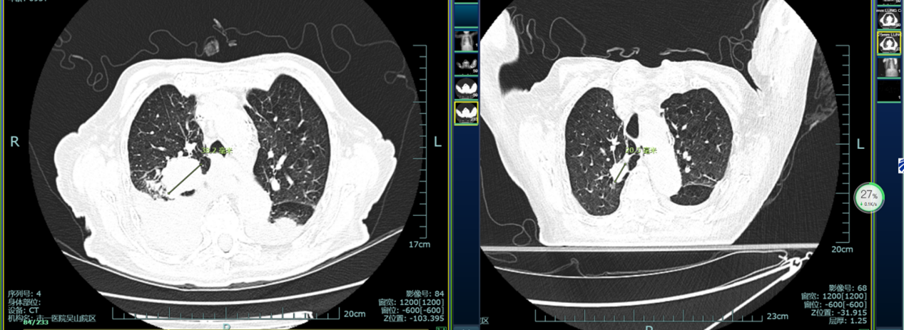
治疗前后对比图
周建美团队为李奶奶量身定制了治疗方案。除了精准的靶向药物治疗外,团队还特别注重日常健康管理:定期监测血压、血糖,及时调整用药;关注心脏功能,适时进行利尿等对症治疗;同时邀请营养科专家会诊,提供科学的饮食指导。这种“治疗+照护”的全方位管理模式,既确保了治疗的安全性,又显著提升了老人的生活质量。
经过一个月的精心治疗和护理,复查结果令人欣喜:右肺原发灶较前缩小,肺内多枚小结节及类结节较前缩小、减少,双侧胸腔少量积液,较前减少。更难得的是,李奶奶全程无不适,连血象都保持正常。这个结果让医疗团队和家属都倍感欣慰。
如今服药近两年,李奶奶状态稳定。复查显示病灶持续控制,靶向治疗期间生活质量评分保持在良好水平。家属感慨:“本以为这个年纪得了癌症就只能听天由命,没想到吃点药就能让老人恢复了正常生活!”
李奶奶的治疗成效并非特例。随着医学进步,年龄本身不应成为放弃治疗的理由。
“靶向治疗已成为对抗晚期肺癌的有力武器。”杭州市萧山区戴村镇社区卫生服务中心主治中医师沈妙燕介绍,针对EGFR等基因突变的靶向药,让患者的平均生存期从化疗时的1年提升到近4年。特别是新一代药物,使无进展生存期突破20个月大关,五年生存率实现翻倍增长。而且,这种“高效低毒”的治疗模式,不仅显著延长生存时间,副作用也小很多。患者可以像管理慢性病一样管理肺癌,生活质量明显提高。
李奶奶的案例为高龄肺癌治疗提供了宝贵启示:首先,基因检测是关键,即使无法获取组织标本,胸水等液体活检也能为约50%的东亚患者找到靶点;其次,靶向药物改变治疗格局,高效低毒的口服药物使90岁以上患者抗肿瘤治疗成为可能;再者,个体化剂量调整是核心,根据基础疾病、肝肾功能、合并用药等调整剂量,平衡疗效与安全;最后,整合照护不可少,全程精细管理基础疾病、维持机体功能状态的整合照护模式不可或缺。